318 North Main Street, Natick, MA 01760

Smile Gallery

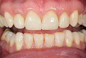
The image shows a close-up of a person s teeth with noticeable discoloration, likely from a dental condition such as staining or decay, and the individual is smiling.

Before

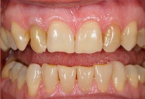
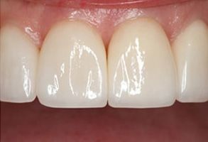
The image shows a close-up view of a person s mouth with a bright smile displaying white teeth, and the person appears to be middle-aged or older.

After

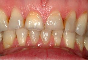
The image shows a close-up view of an individual s teeth with discoloration, likely due to dental issues such as staining or decay, requiring professional attention for cleaning and restoration.

Before

The image shows a close-up view of a person s mouth with teeth, focusing on the lower front teeth which appear discolored with yellow stains.

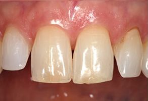
After

The image shows a close-up of a person s face with a focus on their teeth and lips, which are smiling, revealing a dental implant.

Before

The image shows a close-up of a person s smiling mouth with teeth visible, capturing a moment of happiness or contentment.

After

The image shows a close-up view of a person s mouth with visible teeth and a partial upper lip showing a small amount of skin, likely taken for dental or oral health purposes.

Before

The image shows a close-up of a person s teeth with an overlay of text.

After

The image shows a close-up view of a person s teeth with a focus on the lower front teeth, which appear yellowed and stained.

Before

The image shows a close-up view of a person s teeth with a focus on their lower front teeth, which appear to be in need of dental work due to discoloration and possible decay.

After

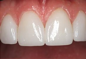
The image shows a close-up view of a person s mouth with teeth that have been whitened, revealing a bright smile with a noticeable contrast between the white teeth and the pink gums.

Before

The image depicts a close-up view of a person s teeth with a focus on dental alignment and oral hygiene.

After

The image shows a close-up view of a person s mouth with yellowish teeth and visible stains on some teeth, with a partial denture in place.

Before

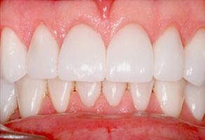
The image shows a close-up view of a person s teeth with a focus on the upper front teeth, which are white with some staining visible between them.

After